U
M
edic
Atrial Septal Defect
Home
(current)
History
Cardiac Exam
Appearance
Blood Pressure
Arterial Pulses
Jugular Pulse
Precordial Impulses
Cardiac Ausc. Upper Left
Cardiac Ausc. Lower Left
Cardiac Ausc. Apex
Pulmonary Ausc.
Diagnosis
Summary
Labs
ECG
Rhythm Strip
Chest X Rays
Echo-Doppler
Catheterization
Treatment
Pathology
Labs - X Rays
You are
incorrect
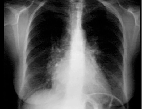
- the best interpretation of the chest X rays in our patient is right ventricular enlargement + dilated pulmonary trunk + increased pulmonary vascularity.
Your choice:
RV enlargement and LA enlargement
PA
Lat
These chest X rays show right ventricular enlargement and left atrial enlargement. The PA view demonstrates left atrial enlargement reflected by the
double contour within the heart border,
an elevated
left mainstem bronchus
and an enlarged
left atrial appendage
causing straightening of the left heard border. Note also that the
cardiothoracic ratio
is greater than 50%, reflecting cardiomegaly. In the lateral view,
left atrial enlargement
is further reflected by the prominent posterior left atrial shadow. Right ventricular enlargement is best seen in this view and is manifested by
obliteration of the retrosternal air space.
Back to question
Discussion